CL

Overview

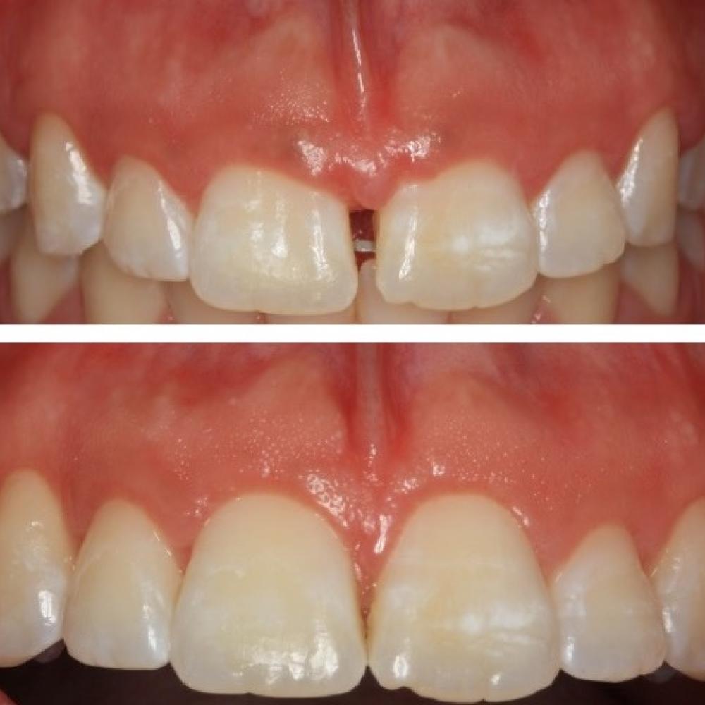
Perhaps your tooth is decayed, broken below the gum line or has insufficient tooth structure for a restoration, such as a crown or bridge. Crown lengthening adjusts the gum and bone levels to expose more of the tooth so it can be restored.

If you require a crown but the surface of the tooth exposed is not long enough, crown lengthening is required in order to make it possible for the crown to be placed. Dr. Xiang can perform a crown lengthening procedure so that the overall crown application is more secure and more predictable.