General
A Periodontist is a dentist who has two or three years of extensive training beyond dental school, enabling him or her to be a specialist in the diagnosis, treatment and prevention of diseases of the gums and supporting structures of the teeth, as well as the surgical placement of dental implants.
By having your gum problem treated by a Periodontist, you will receive the most comprehensive, thorough and scientifically based treatment that is available for your existing problem, thereby helping you to keep your teeth and smile for a lifetime.
Periodontal disease is a chronic, bacterial infection that can cause destruction of the bone and the gums supporting the teeth. The main culprit in this disease is bacteria and their toxins found in dental plaque. Other risk factors for periodontal disease include smoking, diabetes, hereditary factors, clenching/grinding of teeth and lack of good nutrition.
Periodontal disease affects 3 out of 4 people over the age of 35 and is the most common cause of tooth loss in adults. However, if diagnosed early enough, teeth can be saved.
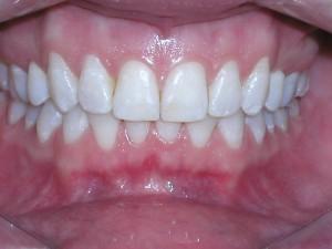
Healthy teeth and gums are maintained by daily plaque removal from all surfaces of the teeth and regular professional dental cleanings.
- pink or coral pink color, (normal variations in color depend on race and complexion) firm, resilient tissues
- ‘orange-peel’ texture (known as stippling)
- shape that follows the contour of the teeth and forms a scalloped edge
- no areas of redness, swelling or inflammation
- no bleeding during brushing or flossing
- no discomfort
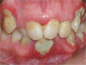
Periodontal disease is a chronic inflammatory condition caused by plaque. Plaque is a sticky film composed mostly of bacteria that forms continuously on the teeth and must be removed daily to prevent tooth decay and gum disease. If not removed, the bacteria in plaque produce toxins that irritate gum tissues causing them to swell. Gradually, plaque hardens into calculus (tartar) that forms a rough surface on which more plaque accumulates, causing increased irritation and swelling.
Bleeding gums are one of the signs of periodontal disease. Think of gum tissue like the skin on your hands – if your hands bled everytime you washed them, you would know something was wrong. There are a number of other warning signs of periodontal disease.
- Red, swollen and tender gums
- Gums that bleed when you brush or floss your teeth
- Bad breath
- Gums that have pulled away from the teeth
- Pus between the teeth and gums (noticeable when the gums are pressed)
- Loose or separating teeth
- A change in the way your teeth fit together when you bite
- A change in the fit of your partial dentures
Millions of people have periodontal disease and don’t even know it. It is usually a painless condition until the late stages of the disease. It is the major cause of tooth loss in adults. Fortunately, disease develops very slowly in most people. With proper treatment, it can be slowed down to a rate that allows you to keep your teeth for life.
Treatment of periodontal disease depends on the extent of the damage the disease has caused. In the early stages, a deep cleaning is performed to remove hardened tartar and infected tissue under the gum as well as smooth the damaged root surfaces. This allows the gum tissue to re-attach to the teeth. A special mouth rinse or an antibiotic might also be prescribed to help control the infection.
Deep cleaning is successful only if the patient brushes and flosses regularly to keep the plaque from building up again and continues with regular professional dental cleanings.
Gum surgery is needed when the periodontal disease is advanced and tissues that hold the teeth in place are destroyed. With gum surgery, the infected area under the gum is cleaned out, the gum tissue is reshaped and then repositioned back into place using stitches.
Unfortunately, periodontal disease progresses painlessly so that you do not notice damage it is causing. However, the bacteria are sometimes more active and during periods of acute activity, your gums may become sore. Over a number of years, the bone supporting the teeth can be lost. If the disease is left untreated for a long time, treatment can become more difficult and tooth loss may be inevitable.
If you value your oral as well as overall health, anytime is a good time to see a Periodontist for a periodontal evaluation. Sometimes that is the only way to detect periodontal disease. If you have any of the symptoms listed above you should see a periodontist. Other reasons to have an evaluation perofrmed by a periodontist include:
If you are thinking of becoming pregnant.
Pregnant women who have periodontal disease may be seven times more likely to have a baby born too early and too small. In addition, almost half of women experience ‘pregnancy gingivitis’. However, woman who have good oral hygiene and have no gingivitis before pregnancy are very unlikely to experience these concerns.
If you have a family member with periodontal disease.
Research suggests that the bacteria that causes periodontal disease can pass through saliva. This means the common contact of saliva in families may put children and couples at risk for contracting periodontal disease from another family member.
If you have heart disease, diabetes, respiratory disease or osteoporosis.
Ongoing research is showing that periodontal disease is linked to these conditions. The bacteria associated with periodontal disease can travel into the blood stream and pose a threat to other parts of the body. Healthy gums are an important part of a healthy body.
If you feel that your teeth are too short or that your smile is too “gummy”.
Periodontal procedures can be performed to improve or eliminate a “gummy” smile, giving you the confidence you need to show your pearly whites with every smile.
If you are missing one or more teeth.
Many people lose confidence in their smile after they lose a tooth. It’s never too late to bring your smile back with dental implants.
If you are not satisfied with your current tooth replacement options.
Perhaps you are unsatisifed with your bridge or dentures. Dental implants may provide you with a better solution to missing teeth. A dental implant is an artificial tooth root placed into the jaw to hold a replacement tooth or bridge in place or to retain a denture.