digital x-rays

Overview

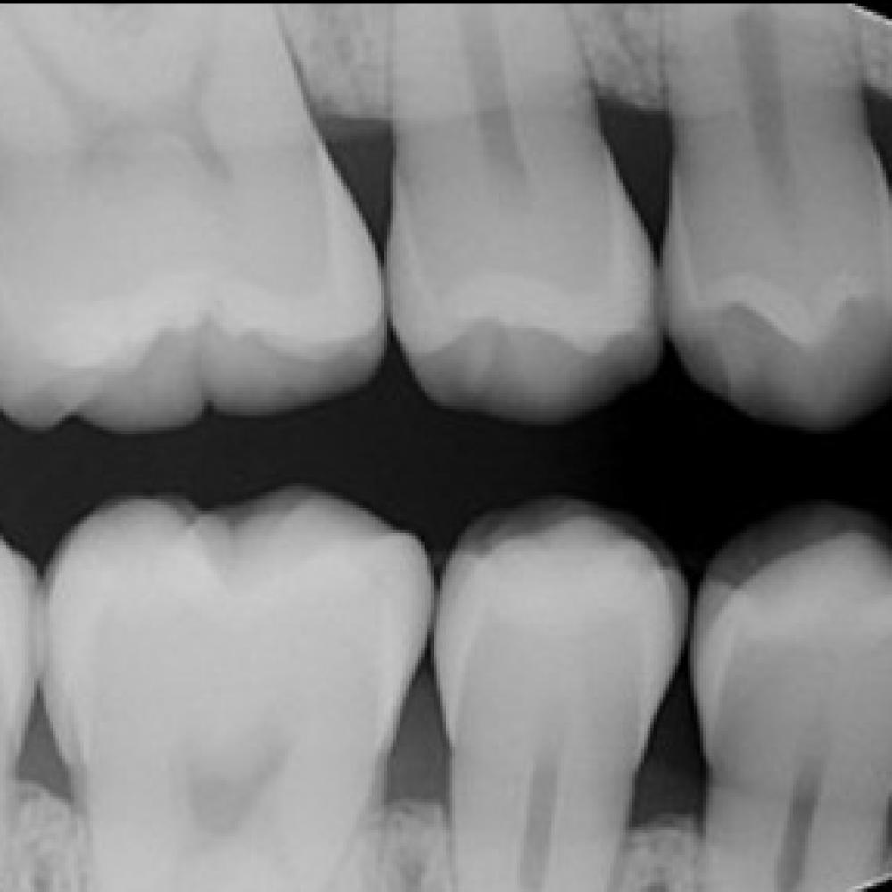
Digital x-rays, often referred to as digital radiography, are the very latest in dental xray technology. Digital x-rays utilise a digital image capture device rather than x-ray film. This system saves time as there isn’t any need to develop film photographs and produces pictures with a better resolution than standard dental x-ray machines. Digital x-rays also send out significantly lower levels of radiation as pictures are produced electronically.

digital x-rays

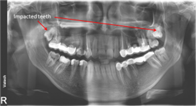
Digital x-rays can be used to diagnose:

  • Cysts of jawbone
  • Bone loss
  • Cancerous and non-cancerous bony lesions
  • Decay between teeth
  • Development abnormalities
  • Poor tooth and root positions
  • Impacted teeth
bone loss
impacted teeth