Gum Grafting

Overview

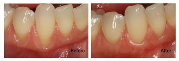
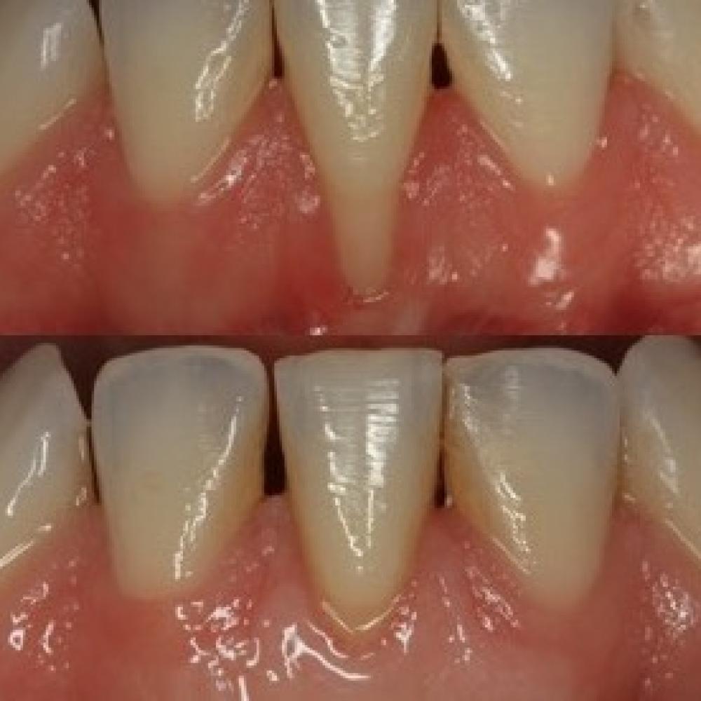
Longer teeth or exposed roots can look unsightly. Exposed root surfaces may increase your sensitivity to hot, cold or sweets. There may also be an increase of risk for cavities when root surfaces are exposed. Gum graft can be used to strengthen gum tissue which is absent due to excessive gum recession. It can also reduce risk of further recession and bone loss. In some cases, it can cover exposed roots to protect them from decay and improve the aesthetics of your smile.

gum grafting